Call Us Today!
(209) 369-1051

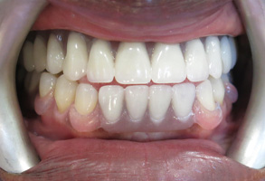
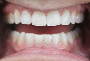
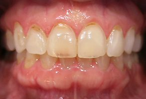
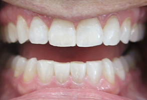
At our office, we provide the highest quality of care so that patients of all ages can enjoy the benefits of a healthy and beautiful smile. Skilled and experienced in all facets of general dentistry, Dr. Balseca offers a comprehensive range of services designed to serve the dental needs of every member of your family. Whether you or a loved one needs a routine checkup and cleaning, fillings, a cosmetic smile makeover, the replacement of missing teeth, periodontal treatment, dental implants, or require treatment for a dental emergency, you can depend on our office for skilled, reliable care.
Building relationships built on trust is the key to the success of our practice. We get to know our patients while providing precise, gentle treatment in an atmosphere that’s attentive and caring. Our professional team, along with every member of our office staff, strives to make each visit a positive and engaging experience.
At Lodi Family Dentistry, we maintain a position at the forefront of advances in care and stand well equipped to help you and every member of your family enjoy optimal oral health as well as beautiful and long-lasting results of care.
When you look great, you feel great! To learn more about our office and how we can give you the vibrant smile you’ve always wanted, give us a call today.


New Patient Exam
(Full Exam & X-rays)
Consultation
(Ortho, Implants, & Dentures)
Limited Exam










Dr. Balseca attended Muhlenberg College in Allentown, PA where he played collegiate baseball for 4 years and achieved his bachelor of science degree in Neuroscience. He completed his doctorate of dental medicine from Temple University in Philadelphia, PA, where he graduated Summa Cum Laude. In addition to his dental school training, Dr. Balseca completed an additional year of training at the San Francisco Veterans Affairs Medical Center.
Learn More
